New Patient Special

Stop Hiding Your Smile.
Tampa's Premier Orthodontist.

Looking for the most affordable family orthodontist in Tampa? Experience our "Zero-Upcharge" guarantee. Get Gold, Clear Ceramic, or Metal Braces for the exact same low price.

See Pricing
Over 25 Years Creating 10,000+ Perfect Smiles in Pasco County.
The "Grand Slam" Offer
$155/mo

$275 Down Payment | 0% Interest


  • Metal, Gold, or Clear Braces
  • Includes X-Rays & 3D Scans
  • Free Retainers Included
  • Doctor-Supervised Safety

*Excludes surgical/impaction/expansion cases. Exp

Looking for the Most Affordable Family Orthodontist in Tampa?

You see it in the mirror every morning. The crowding. The gaps. The teeth you try to hide behind closed lips in every photo. It’s not just cosmetic. It chips away at your confidence. You want to fix it with braces or Invisalign, but you're terrified of a $6,000 surprise bill or being treated like a number at a corporate chain.

The Thomas Orthodontics Difference

We are the antidote to the "Corporate Dental Factory." We are a family-run practice serving Tampa and Pasco County that believes a perfect smile shouldn't bankrupt you. Dr. Thomas treats people, not quotas.

Who We Help in Tampa & Pasco County

For The Protective Parent

"Give Them the Advantage You Never Had"

Confident teens perform better in school. At Thomas Orthodontics, we make it easy to be the hero with Pasco County braces plans featuring payments lower than your cable bill.

See Family Plans →

For The Student

"Your Smile. Your Style. Zero Limits."

Want to rock the "jewelry look" with Gold Braces? Want to go stealth mode with Clear Ceramic Braces? At other offices, that costs extra. At Thomas Orthodontics, your style is FREE.

View Style Options →

For The Professional

"Invest in Your Personal Brand"

A straight smile commands respect in the boardroom. With our digital scanning technology (no goop!), we map your Invisalign® or Angel Aligners™ journey in minutes.

Explore Adult Ortho →

Real Orthodontic Results in Tampa Bay

See the smiles we've transformed right here in Tampa using braces, Invisalign, and Angel aligners.

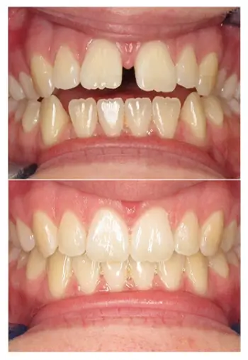
Tampa Open Bite and Spacing Orthodontic Correction
Open Bite & Spacing
Tampa Underbite Correction with Braces
Underbite Correction
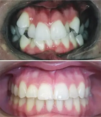
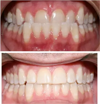
Severe Crowding Orthodontics Pasco County
Severe Crowding (Extraction)
Mild Crowding Invisalign Correction Tampa
Mild Crowding
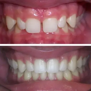
Tampa Crowding Non-Extraction Braces
Crowding (Non-Extraction)
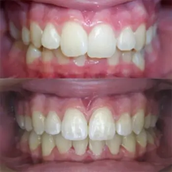
Deep Bite and Spacing Orthodontics
Deep Bite & Spacing

Why Are We the Highest Rated Orthodontist in Pasco County?

Let’s be honest. You might wait a few extra minutes in our waiting room. Here is why that’s a good thing.

Most corporate dental chains rush you in and out in 7 minutes. Dr. Thomas refuses to play that game. He takes the time to answer every question and adjust every wire perfectly.

Fast Free WiFi
Gaming Station
Coffee Bar
Selfie Station

What Our Tampa Bay Patients Say

Reviews
4.8
(188)
Review us on Google

Warning: Why "Mail-Order" Aligners Are a Dangerous Gamble

You wouldn't set your own broken arm. Don't try to move your own bones.

Moving teeth is a complex biological process. Without x-rays and supervision by a licensed Orthodontist, you risk:

  • Permanent Gum Recession
  • Bite Misalignment
  • Tooth Loss

How Much Do Braces and Invisalign Cost in Tampa?

Transparent Pricing. No Hidden Fees. We believe everyone in Pasco County deserves a perfect smile.

The "Total Confidence" Package
Comprehensive Orthodontic Exam $250 Value
Panoramic Digital X-Rays $150 Value
3D Smile Simulation Scan $200 Value
Treatment Plan Consultation $150 Value
Total Value $750
Your Cost Today $0.00
MOST POPULAR
All-Inclusive Braces Treatment

For Kids, Teens, and Adults

$155/mo
$275 Down Payment
  • No Upcharge for Gold Braces
  • No Upcharge for Clear Ceramic Braces
  • 0% Interest Financing
  • Retainers Included
All-Inclusive Clear Aligners

Invisalign® & Angel Aligners™

$195/mo
$275 Down Payment
  • Angel Aligners™ & Invisalign®
  • Crystal Clear & Removable
  • 0% Interest Financing
  • Retainers Included